据统计,我国每年骨折发病人数不少于500万次,因而骨折诊断有着庞大的医疗需求。在各大医院的急诊和夜诊中,因骨折前来就诊的患者始终占据着很大的比例。临床上,骨折最常见的诊断方法是X线检查。数字DR能显现出病灶周边整个外部结构的改变,空间分辨率高,且价格低廉,在对骨折病灶的识别上明显优于CT等其他影像检查。
随着医疗器械技术的发展,动态DR作为X线设备的新型主力军已经逐步替代常规DR,成为各级医疗机构中的不可或缺的X线检查设备。

米兰国际站PLX8600大视野平板动态DR,将可视化造影、大幅面多角度转体高清透视、高清拍片、毫秒级高清点片、影像实时保存与回放、自动曝光控制(AEC)、全身拼接、图像后处理等多重功能集于一身;拥有17"*34"有效视野,是市面大尺寸平板的2倍,一次成像不拼接,解决了拼接图像存在密度不均匀,拼接处图像配准和放大效应等问题,给临床带来了真正的大视野影像解决方案,高清画质,准确成像不失真,辅助医生准确诊断疾病。
大视野不拼接 一次曝光覆盖全脊柱

全脊柱临床影像
PLX8600大视野平板动态DR全脊柱一次成像摄片适用于儿童、成人、老年人腰椎退行性病变、强直性脊柱炎、脊柱结核等临床应用,在此类大视野的临床拍摄中发挥了极大的价值。
PLX8600大视野平板动态DR可在透视情况下多角度观察病灶部位,做术前诊断及术后愈合的检查,如脊柱斜位透视,可观察椎弓根峡部,诊断椎体是否滑脱等情况;可在脊柱运动状态下通过透视模式观察全脊柱状态,了解病变处脊柱的活动度及骨结构的关系,配合点片功能快速获得高清的关键帧影像,辅助医生制定更准确的手术方案。
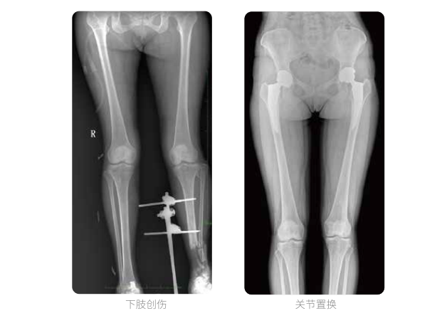
一次曝光 让较长髓内钉细节毕现

双下肢临床影像
髓内钉手术是骨科、手足外科中常见的微创型手术方式,患者随访时需拍摄置入在股骨、肱骨处的较长髓内钉。PLX8600视野拍摄,能够出色解决医生需多次摄影再拼接的痛点。一次成像双下肢,即拍即得,高效率,无需拼接。工作站软件自带的测量功能方便医生读取双下肢长度数据,助力准确诊断。
动态DR所具备的全脊柱、全下肢全景成像技术检查,能够更加清晰的显示患者病情变化情况,对骨科疾病患者的全脊柱、全下肢病变情况图像展示更加具有完整性,对患者在自然状态下的应力情况展示较为全面,有助于骨科疾病患者临床诊断效果的提升,对患者临床治疗方案的科学制定有着积极的作用。
PLX8600大视野平板动态DR可以满足各级医疗机构临床各科室(如骨科、创伤科、脊柱正畸科、放射介入科等)对设备的多样化需求,是疾病真正的“侦察兵”,是影像医生真正的利器,更是基层群众健康的坚实后盾。如果您对我公司这款动态DR产品感兴趣的话,欢迎咨询:400-025-6366。


